Table of Contents
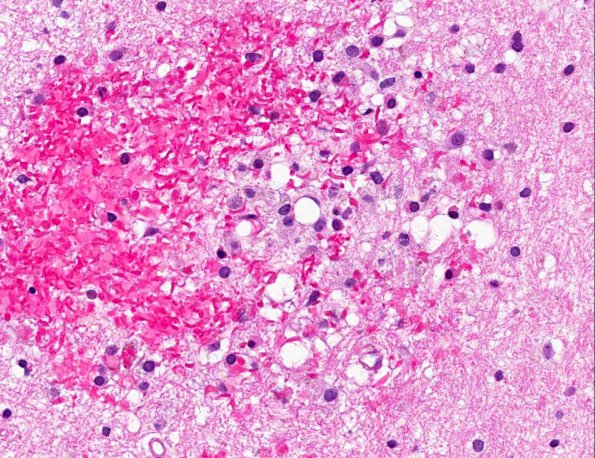
Washington University Experience | MYELIN (NON-IMMUNE MEDIATED) | Fat Embolism | 8A4 Embolism, fat & sickle cell & Bone Marrow Infarcts (AANP 2013 Case 4) H&E 4
Focal hemorrhages are accompanied by fat emboli within the microvasculature. (H&E)
