Table of Contents
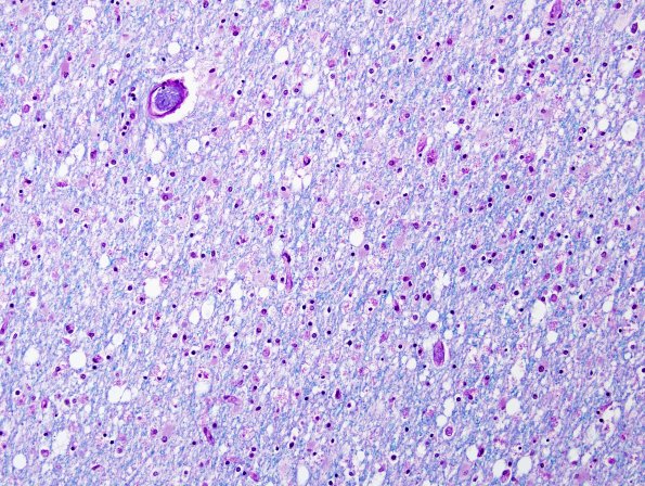
Washington University Experience | MYELIN (NON-IMMUNE MEDIATED) | Hypoxic Leukoencephalopathy | 2E1 Hypoxia-Ischemia Adult White Matter (Case 2) LFB-PAS 4
2E1,2 Myelin loss is significant but not total. Many macrophages contain pink metabolized myelin. (LFB-PAS)
