Table of Contents
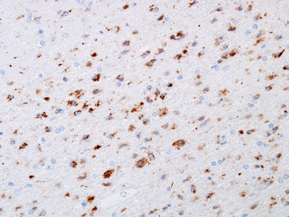
Washington University Experience | MYELIN (NON-IMMUNE MEDIATED) | Hypoxic Leukoencephalopathy | 2F3 Hypoxia-Ischemia Adult White Matter (Case 2) CD68 3
Higher magnification of area shown in image #F2 shows individual white matter macrophages and only a minimal increase in cortical macrophages/microglia (CD68 IHC)
