Table of Contents
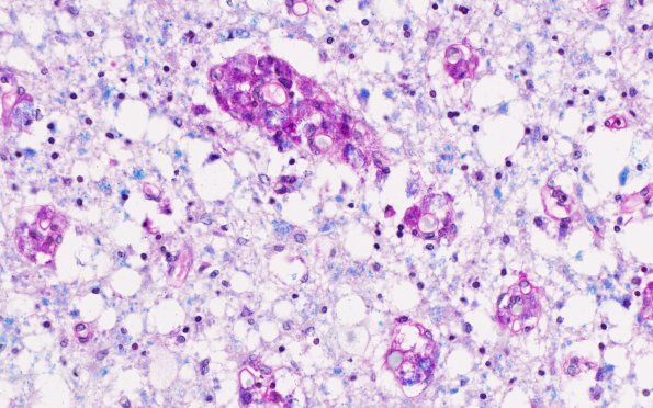
Washington University Experience | MYELIN (NON-IMMUNE MEDIATED) | Metachromatic Leukodystrophy | 1G11 (Case 1) Area A Spinal cord LFB-PAS 40X
On the contralateral side of the area sampled as1G7-9 (not seen in 1G1) was a similar area. That area was stained for myelin showing numerous swollen macrophages.(LFB-PAS)
