Table of Contents
Washington University Experience | MYELIN (NON-IMMUNE MEDIATED) | Metachromatic Leukodystrophy | 1G9 Metachromatic Leukodystrophy (Case 1) spinal cord 9794
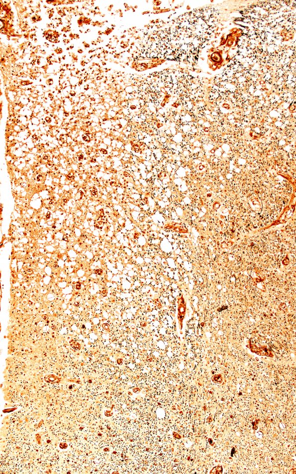
The area of 1G1 marked with an arrow is shown stained for axons (Bielschowsky). In this series both axons and myelin are lost comparably
