Table of Contents
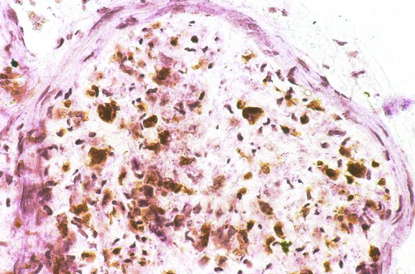
Washington University Experience | MYELIN (NON-IMMUNE MEDIATED) | Metachromatic Leukodystrophy | 1I Metachromatic Leukodystrophy (Case 1) Hirsch-Peiffer 2 A
Brown metachromatic materials are demonstrated by this frozen section stained with acidified cresyl violet stain (Hirsch-Peiffer stain)
