Table of Contents
Washington University Experience | MYELIN (NON-IMMUNE MEDIATED) | Metachromatic Leukodystrophy | 4B MLD (Case 4) EM 048 - Copy
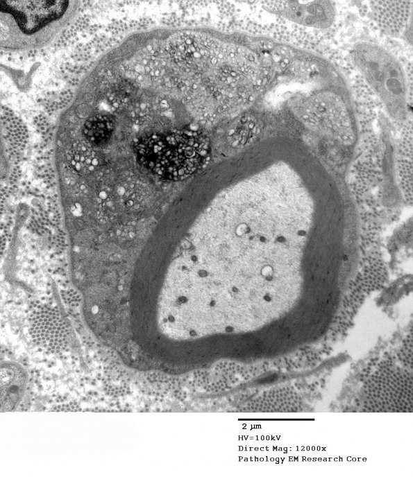
A large amount of stored material is located in the Schwann cell cytoplasm in the presence of a well preserved axon. (electron micrograph)
