Table of Contents
« prev
next »
Washington University Experience
|
MYELIN (NON-IMMUNE MEDIATED)
|
Necrotizing Leukoencephalopathy
|
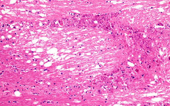
3B3 DNL (MTX & Rx Mantle Cell Lymphoma, Case 3) H&E 20X
Higher magnification image of #3B2 (H&E)
Image Info
Camera Maker:
Olympus
Camera Model:
DP74 #1
Shutter Speed:
1/1000 sec
Metering Mode:
Average
Gallery RSS
|
Archive View
|
Login
|
Powered by
Zenphoto