Table of Contents
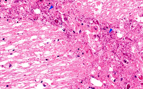
Washington University Experience | MYELIN (NON-IMMUNE MEDIATED) | Necrotizing Leukoencephalopathy | 3B4 DNL (MTX & Rx Mantle Cell Lymphoma, Case 3) H&E 40X copy
Highest magnification of a single lesion showing vacuolation, axonal spheroids, astrocytosis and calcifications (arrowheads) (H&E)
