Table of Contents
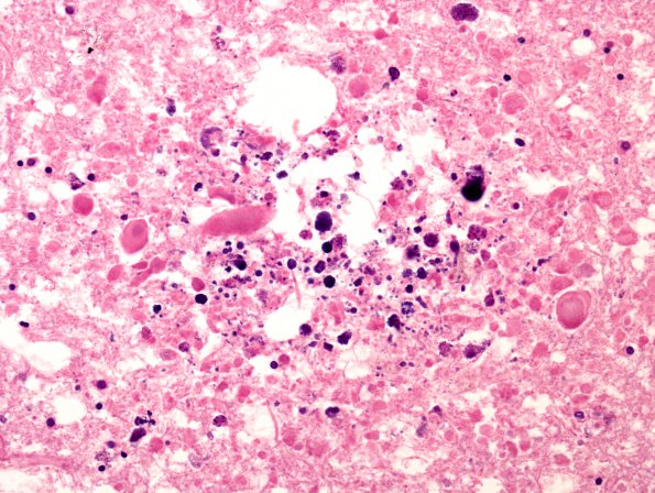
Washington University Experience | MYELIN (NON-IMMUNE MEDIATED) | Necrotizing Leukoencephalopathy | 5B4 DNL (Case 5) ALL Rx, MTX local to WM & RAD gross 2
Higher magnification of necrotizing lesions preferentially involving the white matter of the centrum semiovale and consist of vacuolated neuropil, numerous axonal spheroids and calcifications. Surrounding areas contain necrosis (H&E)
