Table of Contents
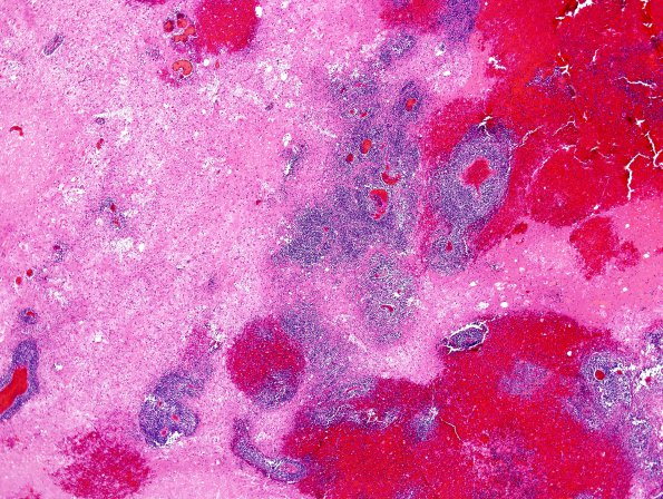
Washington University Experience | MYELIN (NON-IMMUNE MEDIATED) | Necrotizing Leukoencephalopathy | 5C2 DNL (Case 5) ALL Rx, MTX local to WM & RAD H&E 5
The perivascular leukemic neoplastic infiltrate is surprisingly more extensive in the right hemisphere and may have contributed to the severity of parenchymal injury. (H&E)
