Table of Contents
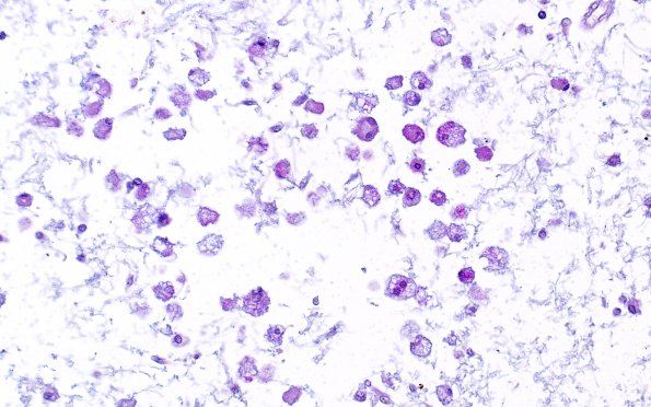
Washington University Experience | MYELIN (NON-IMMUNE MEDIATED) | Vanishing White Matter Dz | 2B4 Vanishing White Matter DZ Alcian-blue PAS (Kondi Wong Case) 40X 1
2B4-6 Several magnifications of a field with numerous foamy oligodendroglia (Alcian-Blue PAS stain)
