Table of Contents
Washington University Experience | NEOPLASMS (EMBRYONAL) | ATRT - Atypical Teratoid Rhabdoid Tumor | 16C3 ATRT. spinal & tectal (Case 16) GFAP 1.jpg
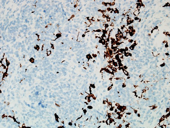
Glial fibrillary acidic protein is also positive in a subset of tumor cells. (GFAP IHC)
