Table of Contents



Washington University Experience | NEOPLASMS (EMBRYONAL) | ATRT - Atypical Teratoid Rhabdoid Tumor | 17A2 ATRT (Case 17) T1 W 1 - Copy

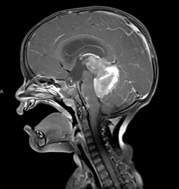
17A2 ATRT (Case 17) T1 W 1 - Copy
The mass enhances with contrast administration in this T1-weighted scan.


Gallery RSS RSS Feed | Archive View | Login | Powered by Zenphoto