Table of Contents
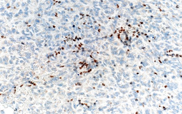
Washington University Experience | NEOPLASMS (EMBRYONAL) | ATRT - Atypical Teratoid Rhabdoid Tumor | 19J4 ATRT (Case 19) INI1 40X 3
Tumor cells show loss of INI-1 immunoreactivity and sparing of endothelial cells as a positive control (INI-1 IHC)
