Table of Contents
Washington University Experience | NEOPLASMS (EMBRYONAL) | ATRT - Atypical Teratoid Rhabdoid Tumor | 20A2 ATRT (NP24-888) T1 noC sag - Copy
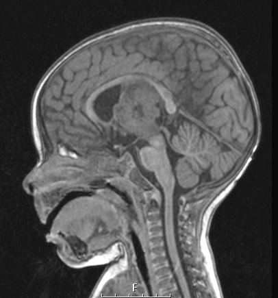
A T1-weighted image of the mass shows iso/hypointensity in comparison to the adjacent brain and brainstem.
