Table of Contents



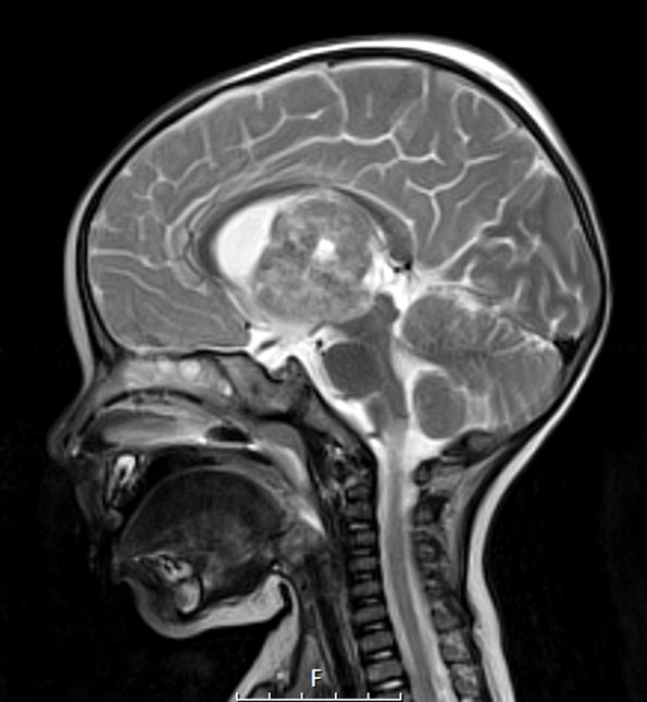
Washington University Experience | NEOPLASMS (EMBRYONAL) | ATRT - Atypical Teratoid Rhabdoid Tumor | 20A3 ATRT (NP24-888) T2W sag 2 - Copy

20A3 ATRT (NP24-888) T2W sag 2 - Copy
The tumor has a variegated appearance on T2-weighting with contrast administration.


Gallery RSS RSS Feed | Archive View | Login | Powered by Zenphoto