Table of Contents



Washington University Experience | NEOPLASMS (EMBRYONAL) | ATRT - Atypical Teratoid Rhabdoid Tumor | 20A4 ATRT (NP24-888) T2W axial - Copy

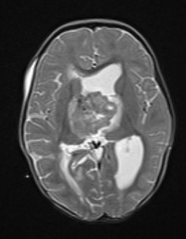
20A4 ATRT (NP24-888) T2W axial - Copy
The tumor appears to have a thalamic component.


Gallery RSS RSS Feed | Archive View | Login | Powered by Zenphoto