Table of Contents
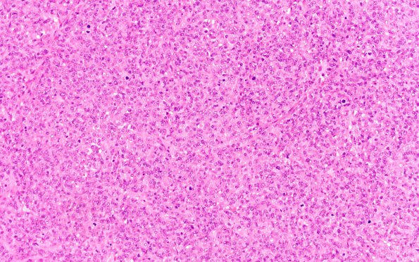
Washington University Experience | NEOPLASMS (EMBRYONAL) | ATRT - Atypical Teratoid Rhabdoid Tumor | 20B1 ATRT (NP24-888) H&E 20X
20B1,2 H&E stained sections show portions of brain parenchyma involved by a polyphenotypic hypercellular infiltrative neoplasm arranged in sheets with marked proliferative activity. (H&E)
