Table of Contents
« prev
next »
Washington University Experience
|
NEOPLASMS (EMBRYONAL)
|
ATRT - Atypical Teratoid Rhabdoid Tumor
|
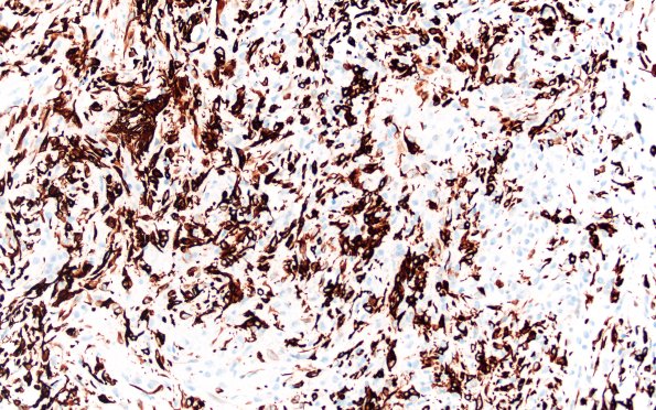
20C ATRT (NP24-888) A2 GFAP 20X 2
A subpopulation of tumor cells are GFAP immunoreactive. (GFAP IHC)
Image Info
Camera Maker:
Olympus
Camera Model:
DP74
Shutter Speed:
10/10989 sec
Metering Mode:
Multi-Spot
Gallery RSS
|
Archive View
|
Login
|
Powered by
Zenphoto