Table of Contents
« prev
next »
Washington University Experience
|
NEOPLASMS (EMBRYONAL)
|
ATRT - Atypical Teratoid Rhabdoid Tumor
|
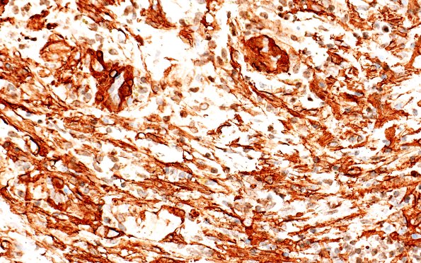
20E3 ATRT (NP24-888) A2 SMA 40X 3
SMA immunoreactivity labels tumor cells and the microvasculature. (SMA IHC)
Image Info
Camera Maker:
Olympus
Camera Model:
DP74
Shutter Speed:
36/7045 sec
Metering Mode:
Multi-Spot
Gallery RSS
|
Archive View
|
Login
|
Powered by
Zenphoto