Table of Contents
« prev
next »
Washington University Experience
|
NEOPLASMS (EMBRYONAL)
|
ATRT - Atypical Teratoid Rhabdoid Tumor
|
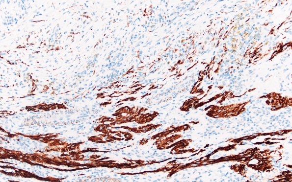
20F1 ATRT (NP24-888) A2 Desmin 20X 2
20F1,2 A subpopulation also shows desmin immunoreactivity. (Desmin IHC)
Image Info
Camera Maker:
Olympus
Camera Model:
DP74
Shutter Speed:
21/20000 sec
Metering Mode:
Multi-Spot
Gallery RSS
|
Archive View
|
Login
|
Powered by
Zenphoto