Table of Contents
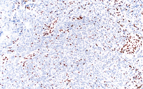
Washington University Experience | NEOPLASMS (EMBRYONAL) | ATRT - Atypical Teratoid Rhabdoid Tumor | 20G2 ATRT (NP24-888) A2 INI1 20X 1
INI-1 immunoreactivity is lost in the tumor cells and remains in the non-neoplastic endothelium. (INI1 IHC)
