Table of Contents
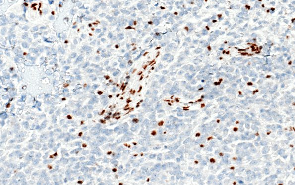
Washington University Experience | NEOPLASMS (EMBRYONAL) | ATRT - Atypical Teratoid Rhabdoid Tumor | 20G4 ATRT (NP24-888) A2 INI1 40X 3
Higher magnification shows INI-1 immunoreactivity is lost in the tumor cells and remains in the non-neoplastic endothelium. (INI1 IHC) ---- Not shown: The tumor cells are negative for synaptophysin and H3K27M. The tumor was examined as part of the COG protocol with the finding that the tumor is an “Atypical teratoid rhabdoid tumor, SHH activated”.
