Table of Contents
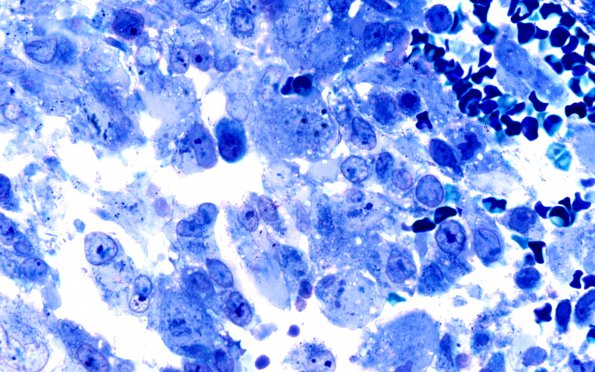
Washington University Experience | NEOPLASMS (EMBRYONAL) | ATRT - Atypical Teratoid Rhabdoid Tumor | 2B1 AT-RT (Case 2) H&E 100X 3
This one-micron thick plastic embedded toluidine stained sections show large cells, relatively discohesive and pale collections of inclusions in many cells
