Table of Contents
« prev
next »
Washington University Experience
|
NEOPLASMS (EMBRYONAL)
|
CNS-BCOR ITD
|
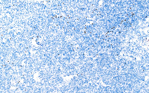
1M1 BCOR (Case 1) Olig 2
1M1,2 Neoplastic cells show occasional reactivity for Olig2. (Olig2 IHC)
Image Info
Camera Maker:
Olympus
Camera Model:
DP74 #1
Shutter Speed:
14/27451 sec
Metering Mode:
Average
Gallery RSS
|
Archive View
|
Login
|
Powered by
Zenphoto