Table of Contents
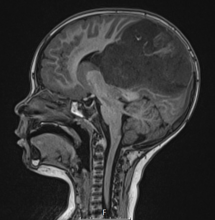
Washington University Experience | NEOPLASMS (EMBRYONAL) | ETMR - Embryonal Tumor Multilayered Rosettes | 1A2 ETMR (NP20-592) T1 noC SAG - Copy
1A2,3 A T1-weighted scan without contrast image confirms the size and mass effect on the surrounding brain as shown in sagittal (1A2) and axial (1A3) scans.
