Table of Contents
Washington University Experience | NEOPLASMS (EMBRYONAL) | ETMR - Embryonal Tumor Multilayered Rosettes | 1A4 ETMR (NP20-592) T1w axial - Copy
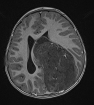
Administration of contrast fails to show substantial enhancement in a T1-weighted contrast administered scan.
