Table of Contents
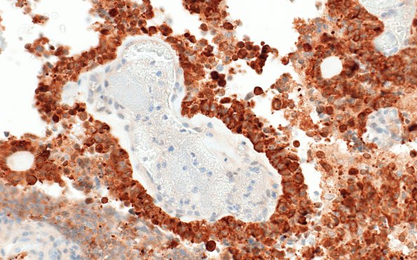
Washington University Experience | NEOPLASMS (EMBRYONAL) | ETMR - Embryonal Tumor Multilayered Rosettes | 1I2 ETMR, C19MC altered (Case 1) IN28A 1
LIN28A immunohistochemistry exhibits positive cytoplasmic reactivity with various intensities, relatively stronger in the pseudo-rosetted areas. (LIN28A IHC)
