Table of Contents
Washington University Experience | NEOPLASMS (EMBRYONAL) | ETMR - Embryonal Tumor Multilayered Rosettes | 1J2 ETMR, C19MC altered (Case 1) Ki67 1
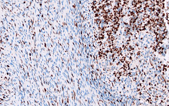
The Ki67 proliferation rate is high, estimated over 80% in areas with nested architecture and ~50% in the “mesenchymal component”. ---- Not shown: The tumor cells are also negative for desmin, Cam5.2, EMA, Sox10 and Oct4. ---- A FISH study (performed at Cincinnati Children’s Hospital) shows amplification of C19MC (19q13.42) in 62% of cells. ---- Comment: The collective histopathological, immunohistochemical and cytogenetic features support the integrated diagnosis of embryonal tumor with multilayered rosettes, C19MC-altered, WHO grade IV. The histological features include areas resembling ependymoblastoma or medulloepithelioma subtypes. However, the abundant mesenchymal differentiation seen in this case is unusual.
