Table of Contents
Washington University Experience | NEOPLASMS (EMBRYONAL) | ETMR - Embryonal Tumor Multilayered Rosettes | 2A1 ETANTR (Case 2) T1 1 - Copy
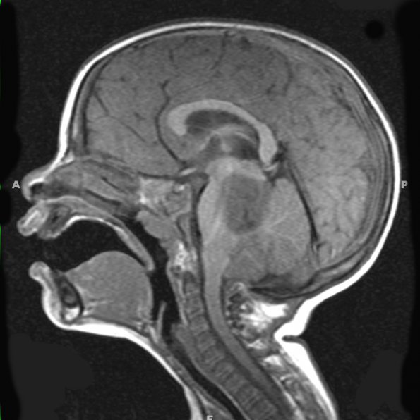
Case 2 History ---- The patient was a 2 year-old boy with a history of torticollis, ataxia, and right hemiparesis. He had a large mass at the left posterior aspect of the pons/midbrain with invasion of the left cerebellum and effacement of the 4th ventricle. Operative procedure: Craniotomy with resection of posterior fossa tumor. ---- 2A1-3 MRI Studies ---- A1,2 The tumor is hypointense in this T1-weighted sagittal section (2A1) involving the brainstem and cerebellum and does not enhance with contrast (2A2).
