Table of Contents
Washington University Experience | NEOPLASMS (EMBRYONAL) | ETMR - Embryonal Tumor Multilayered Rosettes | 2E3 ETANTR (Case 2) Plastic 1
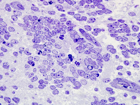
Multilayered tumor rosettes with apoptotic nuclei and mitoses. (One micron thick plastic embedded toluidine blue stained sections)
