Table of Contents
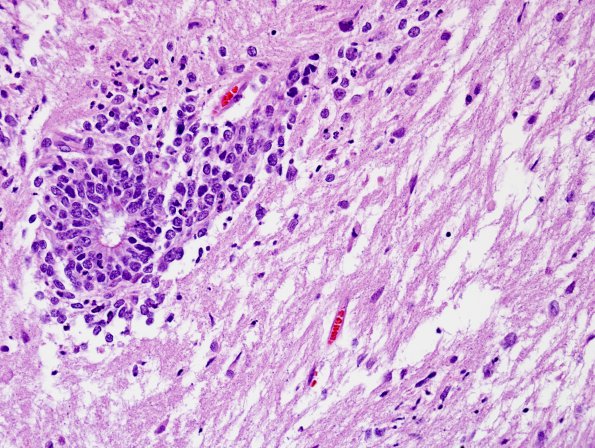
Washington University Experience | NEOPLASMS (EMBRYONAL) | ETMR - Embryonal Tumor Multilayered Rosettes | 3A3 ETANTR (Case 3) H&E 40.jpg
Some of these cells are arranged in the form of true rosettes. The rosettes contain variably sized central lumina and are multi-layered with highly proliferative cells. (H&E)
