Table of Contents
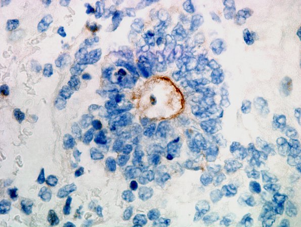
Washington University Experience | NEOPLASMS (EMBRYONAL) | ETMR - Embryonal Tumor Multilayered Rosettes | 3C1 ETANTR (Case 3) D2-40 3.jpg
3C1-4 The terminal bars stain with D2-40, but there are no punctate perinuclear deposits. (D2-40 IHC)
