Table of Contents
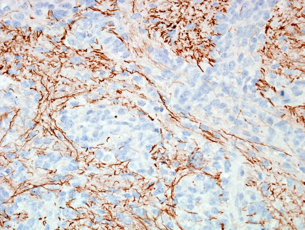
Washington University Experience | NEOPLASMS (EMBRYONAL) | ETMR - Embryonal Tumor Multilayered Rosettes | 4C5 ETANTR (Case 4) NF 6.jpg
The primitive tumor cells are not significantly immunoreactive for neurofilaments but the neuropil is extensively heavily stained (NF IHC)
