Table of Contents
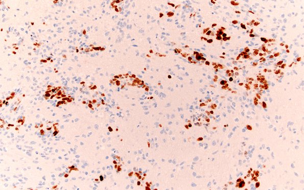
Washington University Experience | NEOPLASMS (EMBRYONAL) | ETMR - Embryonal Tumor Multilayered Rosettes | 4F2 ETANTR (Case 4) Ki67 20X
Even neurocyte-appearing elements maintain proliferative activity, although some more mature areas seem to have limited proliferation. (Ki67 IHC)
