Table of Contents
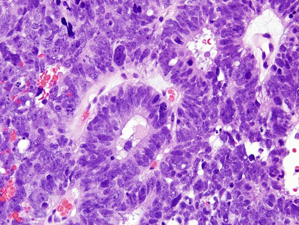
Washington University Experience | NEOPLASMS (EMBRYONAL) | ETMR - Embryonal Tumor Multilayered Rosettes | 6A4 ETANTR, medulloepithelioma (Case 6) H&E 6.jpg
Many areas in the neoplasm have an appearance consisting of a greater degree of atypia, with larger cells, more pleomorphic nuclei, scattered prominent nucleoli, multinucleation, frequent mitotic figures, and apoptotic debris, a pattern resembling neural tube.
