Table of Contents
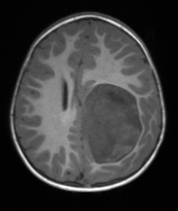
Washington University Experience | NEOPLASMS (EMBRYONAL) | ETMR - Embryonal Tumor Multilayered Rosettes | 8A1 ETMR (Case 8) T1 noC - Copy
Case 8 History ---- The patient is a 2-year-old boy presenting with right-sided dysmetria & ataxia. Imaging shows a heterogeneously enhancing left parietal mass with calcifications and hemorrhage. Operative procedure: Left craniotomy for tumor resection. ---- 8A1-4 MRI Studies 8A1,2 The mass is hypointense without (8A1) and with (8A2) contrast in this T1-weighted image.
