Table of Contents



Washington University Experience | NEOPLASMS (EMBRYONAL) | ETMR - Embryonal Tumor Multilayered Rosettes | 8A2 ETMR (Case 8) T1W - Copy

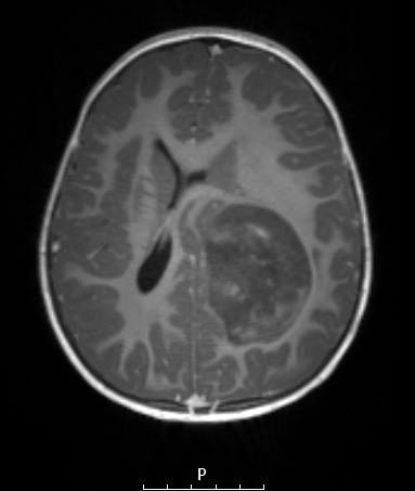
8A2 ETMR (Case 8) T1W - Copy
The mass is hypointense with contrast in this T1-weighted image.


Gallery RSS RSS Feed | Archive View | Login | Powered by Zenphoto