Table of Contents
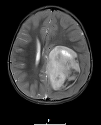
Washington University Experience | NEOPLASMS (EMBRYONAL) | ETMR - Embryonal Tumor Multilayered Rosettes | 8A3 ETMR (Case 8) T2W 1 - Copy
8A3,4 The image is patchy hyperintense in this T2-weighted image as seen in axial and sagittal scans.
