Table of Contents



Washington University Experience | NEOPLASMS (EMBRYONAL) | ETMR - Embryonal Tumor Multilayered Rosettes | 8A4 ETMR (Case 8) T2W - Copy

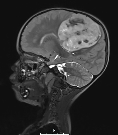
8A4 ETMR (Case 8) T2W - Copy
The image is patchy hyperintense in this T2-weighted image as seen in this sagittal scan.


Gallery RSS RSS Feed | Archive View | Login | Powered by Zenphoto