Table of Contents
« prev
next »
Washington University Experience
|
NEOPLASMS (EMBRYONAL)
|
ETMR - Embryonal Tumor Multilayered Rosettes
|
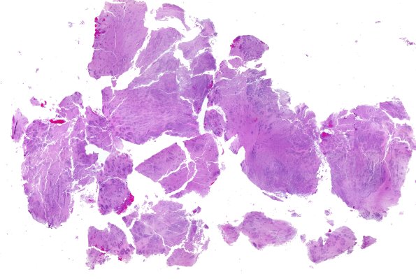
8B1 ETMR (Case 8) H&E B1 WM
This low magnification whole mount shows a heterogenous pattern. (H&E)
Image Info
Camera Maker:
Nikon
Camera Model:
LS-50
Gallery RSS
|
Archive View
|
Login
|
Powered by
Zenphoto