Table of Contents
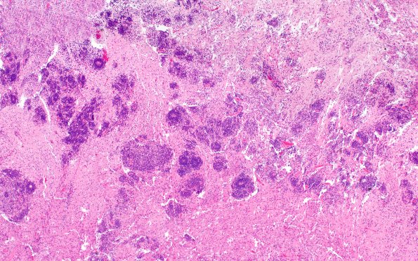
Washington University Experience | NEOPLASMS (EMBRYONAL) | ETMR - Embryonal Tumor Multilayered Rosettes | 8B2 ETMR (Case 8) B3 H&E 4X 2A
Higher magnification shows multiple irregular dense nests of 'small blue cells' with a very high nucleus-to-cytoplasm ratio. (H&E).
