Table of Contents
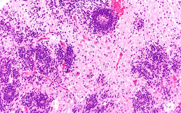
Washington University Experience | NEOPLASMS (EMBRYONAL) | ETMR - Embryonal Tumor Multilayered Rosettes | 8B3 ETMR (Case 8) B3 H&E 20X
8B3,4 These immature neuronal forms are arranged in multilayered true rosettes of cells with a round nucleus, numerous mitoses and karyorrhectic debris. (H&E)
