Table of Contents
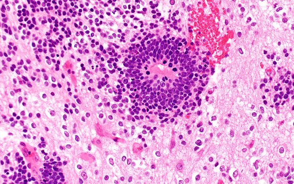
Washington University Experience | NEOPLASMS (EMBRYONAL) | ETMR - Embryonal Tumor Multilayered Rosettes | 8B4 ETMR (Case 8) B3 H&E 40X 2
These immature neuronal forms are arranged in multilayered true rosettes of cells with a round nucleus, numerous mitoses and karyorrhectic debris. (H&E)
