Table of Contents
Washington University Experience | NEOPLASMS (EMBRYONAL) | ETMR - Embryonal Tumor Multilayered Rosettes | 8B5 ETMR (Case 8) B1 H&E 40X 1
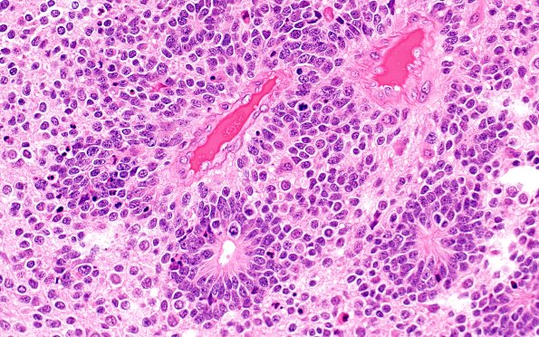
Other patterns include a minor population of perivascular pseudorosette and neuroblastic forms as well as true rosettes. (H&E)
