Table of Contents
« prev
next »
Washington University Experience
|
NEOPLASMS (EMBRYONAL)
|
ETMR - Embryonal Tumor Multilayered Rosettes
|
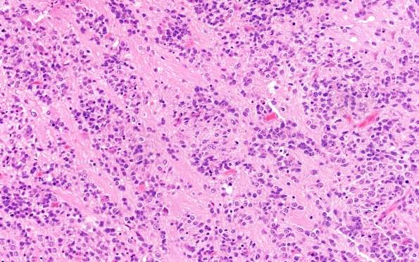
8B6 ETMR (Case 8) B3 H&E 20X 3
8B6-8 Interspersed between embryonal cells are neuropil-like areas. (H&E)
Image Info
Camera Maker:
Olympus
Camera Model:
DP74
Shutter Speed:
25/18797 sec
Metering Mode:
Multi-Spot
Gallery RSS
|
Archive View
|
Login
|
Powered by
Zenphoto