Table of Contents
« prev
next »
Washington University Experience
|
NEOPLASMS (EMBRYONAL)
|
ETMR - Embryonal Tumor Multilayered Rosettes
|
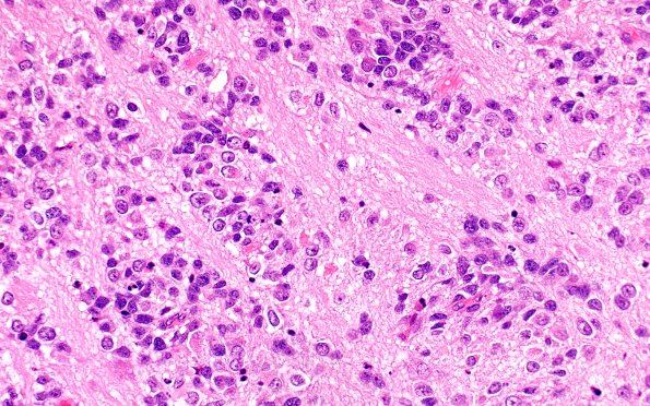
8B8 ETMR (Case 8) B3 H&E 40X 1
Interspersed between embryonal cells are neuropil-like areas. (H&E)
Image Info
Camera Maker:
Olympus
Camera Model:
DP74
Shutter Speed:
44/8413 sec
Metering Mode:
Multi-Spot
Gallery RSS
|
Archive View
|
Login
|
Powered by
Zenphoto