Table of Contents
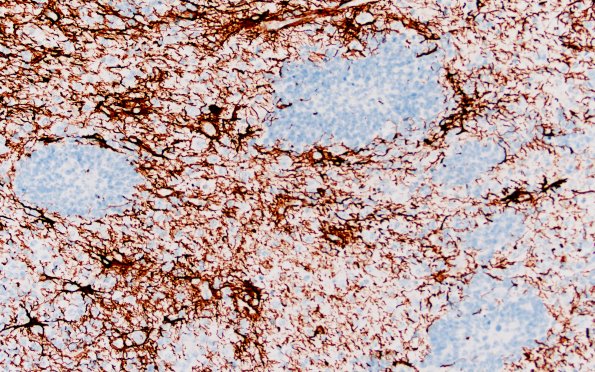
Washington University Experience | NEOPLASMS (EMBRYONAL) | ETMR - Embryonal Tumor Multilayered Rosettes | 8E4 ETMR (Case 8) B1 GFAP 20X
There are numerous GFAP-positive processes interspersed throughout the neuropil-like areas and scattered individual tumor cells are strongly positive. (GFAP IHC)
