Table of Contents
« prev
next »
Washington University Experience
|
NEOPLASMS (EMBRYONAL)
|
ETMR - Embryonal Tumor Multilayered Rosettes
|
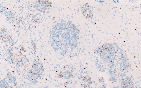
8F2 ETMR (Case 8) B1 Olig2 20X 2
Scattered tumor cells are positive for Olig2. (Olig2 IHC)
Image Info
Camera Maker:
Olympus
Camera Model:
DP74
Shutter Speed:
10/10989 sec
Metering Mode:
Multi-Spot
Gallery RSS
|
Archive View
|
Login
|
Powered by
Zenphoto